在医疗影像诊断领域,医疗显示器作为医生“眼睛”的延伸,其清晰度直接影响诊断准确性。随着4K 技术普及,“是否该入手4K医疗显示器”成为医院采购和科室升级的关键问题。要解答这一疑问,需从高分辨率在影像诊断中的核心价值入手,结合实际应用场景分析其必要性。

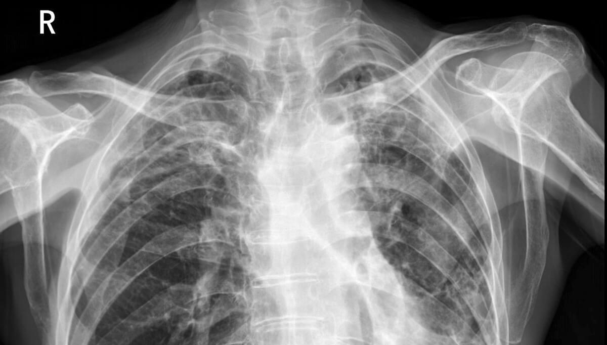
从技术参数来看,4K医疗显示器(分辨率3840×2160)的像素密度是传统2K显示器的4倍,能呈现更多影像细节。在放射科日常诊断中,肺部CT的微小结节、乳腺钼靶的细微钙化点,或是骨科X光片的骨小梁结构,这些易被低分辨率显示器忽略的细节,在4K屏幕上能清晰呈现。有临床数据显示,使用4K医疗显示器后,肺部微小结节检出率提升,有效降低漏诊风险——这是高分辨率最核心的诊断价值。

同时,4K医疗显示器的宽色域和高色准度,能更真实还原影像色彩。在病理科的数字切片观察中,细胞的染色差异、组织的边界轮廓,都需要精准的色彩呈现来辅助判断;皮肤科的皮肤镜影像诊断中,色素痣的颜色渐变、血管分布细节,也依赖4K屏幕的色彩表现力。此外,4K显示器支持更大尺寸屏幕下的分屏显示,医生可同时对比同一患者的历史影像与当前影像,或在同一屏幕上查看CT、MRI等不同模态影像,无需频繁切换窗口,大幅提升诊断效率。
不过,判断4K医疗显示器是否值得入手,还需结合科室需求与预算。对于放射科、病理科、眼科等对影像细节要求极高的核心科室,4K显示器是提升诊断质量的必要投入;而门诊医生工作站、护士站等仅用于查看基础影像报告的场景,2K医疗显示器已能满足需求。此外,采购时需注意选择符合DICOM Part14标准的4K医疗显示器,确保影像灰阶和亮度符合医疗诊断要求,同时搭配专业校准工具,定期维护以保证显示精度稳定。

手术室对医疗显示器清晰度的要求很高。睿显27英寸手术医疗显示器采用4K超高清屏,在保证手术画面超清晰的同时,有效降低反光带给医生的不适感。具备多信号接口,适应于多种图像显示,特别配置12G-SDI模块,支持真4K超高清显示,配备专业的SDI线,可支持超过50米以上的超长距离、无压缩传输,布线简单、抗干扰能力强,非常适合于手术室环境的应用。

4K医疗显示器并非“所有科室都必需”,但对影像诊断核心科室而言,其高分辨率带来的细节呈现优势、色彩还原能力和效率提升,能直接转化为诊断质量的提升。在医疗技术不断进步的当下,选择适配科室需求的4K医疗显示器,既是对患者负责,也是医院数字化升级的重要一步。